
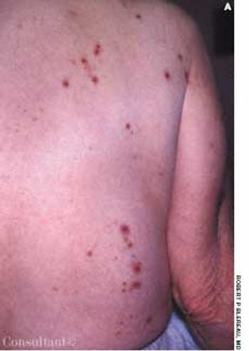
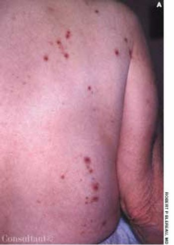
Highly pruritic, 2- to 4-mm, papular lesions with central ulceration erupted on the back of a 66-year-old woman. She had had 2 similar outbreaks in the past. The patient was taking conjugated estrogens, alprazolam, and alendronate.
Highly pruritic, 2- to 4-mm, papular lesions with central ulceration erupted on the back of a 66-year-old woman. She had had 2 similar outbreaks in the past. The patient was taking conjugated estrogens, alprazolam, and alendronate.
Cutaneous manifestations develop inapproximately 30% of persons withdiabetes. Premature atherosclerosisis a common complication of thedisease and can cause peripheral infarction,ulceration, and necrosis.
Affected infants present shortly afterbirth with a large bowel obstructionsecondary to transient dysmotility inthe descending colon. Although thecause is unknown, immaturity of thecolonic myenteric plexuses has beendemonstrated in some cases. Morethan 50% of affected infants are bornto mothers with diabetes. Other predisposingfactors include hypoglycemiaand sepsis.
This patient with long-standing insulin-dependent diabetes has difficultyclosing his hand because of “tight skin.” Diabetes is the cause: this findingoccurs more often in persons with microvascular complications, such asretinopathy and nephropathy. The condition may occur even in patients withwell-controlled diabetes.
Diabetic retinopathy is the most common cause of legal blindness in personsbetween the ages of 20 and 65 years. In this 56-year-old man with a 20-yearhistory of type 2 diabetes, multiple, scattered intraretinal (dot-blot) hemorrhagesand superficial nerve fiber layer (splinter) hemorrhages can be seen.An occasional Roth spot-an intraretinal hemorrhage with a white center thatrepresents a fibrin thrombus which occludes a ruptured blood vessel-is alsoevident. Numerous yellow, waxy, hard exudates are seen between the innerplexiform and inner nuclear layers of the retina. Cotton-wool spots are alsopresent, although no neovascularization is present.
This huge blister developed spontaneously on the foot of a woman withdiabetes mellitus. There was no area of redness around the blister, whichnormally occurs with burns and inflamed lesions. Spontaneous blisters andother skin manifestations are common in persons with diabetes.
Numerous brown spots on his leg brought this man with long-standing diabetes mellitus to his physician. He thought the spots were related to trauma.
This patient with long-standing insulin-dependent diabetes mellitus has difficulty in closing his hand because the skin is "very tight."
Numerous brown spots on the leg of a man with longstandingdiabetes are diabetic dermopathy. This is amicroangiopathy of the small arterioles of the legs, whichresults in atrophic brown papules.
The atrophic patches on the lower legs of this 47-year-old woman who has haddiabetes mellitus for over 20 years are those of necrobiosis lipoidica diabeticorum.These areas involve degeneration of collagen and elastic fibers in thelower dermis and changes in blood vessel walls. The lesions usually begin assingle or multiple elevated reddish nodules, most commonly in the pretibialarea. Over time, they expand and coalesce into distinctive brownish yellowpatches. These areas may be somewhat tender, but as they spread, theyfrequently become painless-unless they ulcerate. Because the involved skinis fragile, ulcers can form after any minor trauma.
Migraine is an episodic, often debilitatingcondition that affects women moreoften than men. Twenty-eight millionAmericans suffer from migraineheadaches-and nearly 75% of theseare women.1 Unlike other chronic painconditions, migraine has its peakprevalence during the years of greatestproductivity, when most women arejuggling family responsibilities andcareers.2 Many women are particularlysusceptible to migraine attacks justbefore and during menses.
For 3 days, a 23-yearold woman had been bothered by pruritic vaginal and vulvar lesions. A cheesy white vaginal discharge was associated with the itching. She denied being sexually active.
A boy was born to a gravida 2, para 1, 26-year-old woman at 37 weeks’ gestation. The pregnancy had been complicated by gestational diabetes. The infant was delivered vaginally; Apgar scores were 6 at 1 minute and 9 at 5 minutes.
Levofloxacin, 500 mg/d, had been prescribed for a 74-year-old woman who had a urinary tract infection. The patient had type 2 diabetes and hypertension. She was allergic to sulfa drugs. Two hours after taking the first oral dose of the antibiotic, painful blisters developed on the lower lip and soft palate.
Patients with diabetes who find repeated pricking of the fingertipspainful can obtain glucose readings by pricking their earlobe.
Concerned about a lesion between her eyes, a 91-year-old woman sought medical evaluation. She had not seen a physician for 23 years. The patient was strong-willed and alert, with no evidence of Alzheimer disease. A huge goiter was evident.
Although the cardiovascular death ratehas declined in the United States, thenumber of hospitalizations for cardiacdisease has not. The improvement incare has been offset by an increase inthe number of older Americans. By2050, more than 100 million Americanswill be 60 years of age or older,and about 30 million will be older than80 years.
A 46-year-old woman with type 1 diabetes mellitus presented to the emergency department with wheals, flares, and severe pruritus of her face and trunk.
This patient has a 2-year history of red plaque with a yellow atrophic center on the leg, which has ulcerated over the past 3 months.
These velvety, hyperpigmented plaques are secondary to acanthosis nigricans, a common problem in patients with insulin-resistant states.
Hundreds of yellow papules developed on the trunk and extremities of this patient, whose diabetes was uncontrolled.