
A 52-year-old man with a 29-year history of type 1 diabetes mellitus and mild diabetic retinopathy and nephropathy presents for a regular checkup.

A 52-year-old man with a 29-year history of type 1 diabetes mellitus and mild diabetic retinopathy and nephropathy presents for a regular checkup.

Abstract: Although cystic fibrosis (CF) is typically diagnosed during infancy or childhood, it may escape detection until adulthood. Diagnostic accuracy can be sharpened by maintaining a high index of suspicion for CF in an adult who is pancreatic-sufficient but has unexplained recurrent respiratory infections, bronchiectasis, or nutritional deficiencies. The workup begins with the quantitative pilocarpine iontophoresis sweat test. If necessary, additional tests include mutation analysis, full-gene sequencing of CF transmembrane conductance regulator protein, and measurement of nasal transepithelial potential difference. Multidisciplinary care is essential and includes nutritional support, chest physiotherapy, exercise, appropriate antibiotics, and other pulmonary interventions. Dornase alpha, inhaled tobramycin, and azithromycin have been associated with improved outcomes and are considered to be the standard of care for patients with moderate lung involvement. (J Respir Dis. 2006;27(1):32-41)

The prevalence of type 2 diabetes is expected to continue to increase rapidly, and it is not surprising that the issue of the potential effects of different classes of antihypertensive drugs on glucose metabolism and glycemic control has sparked debate.

Are aromatase inhibitors safe and effective as adjuvant therapy for postmenopausal women with estrogen receptor-positive breast cancer?

A 57-year-old woman complains of burning and dryness in her left eye and altered sensation in her mouth when eating; these symptoms began the day before. A coworker who had noticed facial asymmetry recommended that she seek medical attention.

Chronic diarrhea presents difficulties for clinicians as well as for patients. Because the differential diagnosis is enormous, management can be challenging. In this article, we present a strategy for quickly narrowing the differential based on a simple analysis of stool characteristics. We then describe an appropriate workup for each of the basic types of diarrhea.

Up to 10% of Americans older than 20 years have type 2 diabetes, and more than 20% have the metabolic syndrome. The prevalence of both diseases has risen by 33% over the past decade as a result of an increasingly sedentary lifestyle, the obesity epidemic, the growth of ethnic groups at risk for the disease, and the aging of the population.

A 35-year-old man with type 1 diabetes has had an asymptomatic rash on the lower extremities for the past several months. He denies trauma and recent illness. He has tried multiple "home remedies," but the rash has persisted. He smokes and drinks alcoholic beverages occasionally.

I have read that radioactive iodine treatment of hyperthyroidism is associated with excess mortality. Many specialists recommend radioactive iodine as first-line therapy--is this safe?

A palpable nodule on the right lobe of the thyroid gland is detected in a 55-year-old woman. The nodule is firm and nontender and moves freely.

After being hit on the head during a football game, a 16-year-old experienced several seconds of complete vision loss in the left eye. A few days later, he noticed the onset of blurred vision in the same eye, which progressively worsened over several weeks.

Extremely itchy, crusting nodules appeared on the arms and legs of a 42-year-old woman who was undergoing renal dialysis.

Cutaneous manifestations develop in approximately 30% of persons with diabetes. Premature atherosclerosis is a common complication of the disease that can cause peripheral infarction, ulceration, and necrosis.

A 62-year-old African American woman was brought to the emergency department (ED) after the sudden onset of slurred speech and weakness in her left arm and leg. Her medical history included hypertension, insulin-dependent diabetes, and congestive heart failure.

A 72-year-old morbidly obese man who had diabetes mellitus was admitted to the hospital from a nursing home with a fever of 4 days' duration. A tracheostomy had been performed 3 months earlier for respiratory failure. The patient was being treated with corticosteroids for chronic obstructive pulmonary disease.

Dermatophyte infections have a predilection for certain anatomic sites, such as the feet, groin, and scalp. Tinea corporis refers to involvement of the trunk and extremities. The condition arises either from direct exposure to an infected source or by extension from an adjacent affected site. Itch is a common symptom, but the intensity of the pruritus can vary from patient to patient.

A 36-year-old man was admitted to the hospital with acute mid-epigastric pain and vomiting. He was a heavy drinker and had smoked between 50 and 60 cigarettes a day for the last 15 years.

A 61-year-old woman who was receiving dialysis for diabetes-associated end-stage renal disease was hospitalized for care of an abdominal wound that had been debrided and closed. At this time, the patient had several large, indurated, red plaques with central, stellate, black eschars on her abdomen, left buttock, and legs. An early focus of ulceration was noted superior to the stapled incision.

A 63-year-old woman who was on long-term hemodialysis because of diabetic end-stage renal disease had a 7-month history of waxing and waning papules and plaques on the front of both legs. The asymptomatic multiple, discrete, slightly erythematous, round to oval lesions ranged from 5 mm to 3 × 4 cm. Several had heaped-up borders and contained central crust and keratotic debris; others were superficial ulcers with central eschars. The lesions improved only slightly following twice-daily application of a superpotent topical corticosteroid preparation.

A 40-year-old man was concerned about an enlarging painless mass on the right side of his neck that had been present for 6 months. The patient reported no other health problems; his medical history was unremarkable, and he was taking no medications.

Two days of pain in his right leg, which had been swollen for a week, brought this 69-year-old man with type II diabetes to the emergency department (ED). Three months earlier, the patient had undergone a radical retropubic prostatectomy with bilateral pelvic lymph node dissection. Examination in the ED revealed an edematous right leg indurated with a leathery-appearing thigh that was hot to the touch. His temperature was 38.7°C (101.7°F), and his white blood cell count was 21,290/µL with a shift to the left.

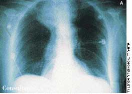
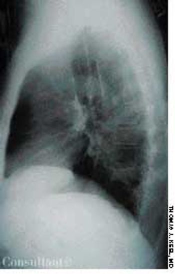
A 69-year-old woman was admitted to the hospital with wheezing and dyspnea. She also complained of hoarseness and slight dysphagia that had caused a loss of 12 lb during the past 4 months. The patient had been treated for bronchial asthma as an outpatient, but the worsening episodes of wheezing were not being controlled by bronchodilator therapy.

An 80-year-old woman presented with recurrent abdominal pain for 1 month, constipation, and vomiting. She had no diarrhea, rectal bleeding, or weight loss.

A 49-year-old woman with a history of alcoholic cirrhosis, esophageal varices, coronary artery disease, diabetes mellitus, and hypertension presented to the emergency department with a 2-day history of fever, chills, nausea, and back and abdominal pain. The pain began on the right side, progressed to the lower back, and radiated into the right anterior thigh and groin area.

A 32-year-old man presented with a yellow, papular rash on the buttocks and extensor surfaces. His medical history included diabetes mellitus, alcoholism, obesity, and polysubstance abuse. Laboratory results disclosed a serum triglyceride level of 5,793 mg/dL.